دندان پزشکی دات کام
مرجع جست و جوی متخصصان دندان پزشکی ایران
سفید کردن دندان
بهترین مواد اولیه
ایمپلنت دندان
بهترین مواد اولیه
لمینت دندان
تست در سریع ترین زمان
ارتودنسی دندان
مورد اعتماد تمام بیمه ها
دندانپزشکان ایران
برترین متخصصین ایرانی
بهترین متخصص ها را گرد هم آوردیم تا با کیفیت ترین خدمات را ارائه دهیم
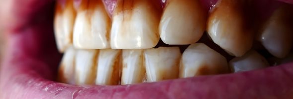
معمولا دندان های عقب و نیش بیشتر از دندان های دیگر دچار پوسیدگی می شوند. چرا که دندان های آسیاب با قدرت فک به مواد غذایی سفت فشار وارد می کنند. از آن جا که گاهی اوقات فشار فک از توان دندان ها بیشتر خواهد بود. در صورت ضعیفی و
- بدون نظری
عفونت دندان عقل، اغلب به علت عدم قرارگیری صحیح دندان ها در دهان، به وجود می آید. این دندان ها به دلیل عدم وجود فضای کافی برای رشد و خروج، معمولاً به صورت نیمه نهفته در لثه باقی می مانند و این موضوع می تواند منجر به عفونت های مختلفی
- بدون نظری
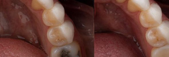
یکی از متداول ترین سوالاتی که در صورت وجود حفره در دندان در دندان پزشکی از پزشک پرسیده می شود این است که بهتر از روکش دندان استفاده شود یا دندان پر شود؟ و این مسئله حاکی از ندانستن تفاوت پر کردن با روکش دندان است که در این مقاله
- بدون نظری
عفونت و آبسه دندان و لثه در کودکان از مشکلات شایعی است که می تواند ناراحتی و درد زیادی به کودکان والدین آنها وارد کند. علل این مسائل می تواند شامل تجویزات نامناسب ترمیمی دندان، بیتوجهی به بهداشت دهان و دندان ها، شکستگی دندان، وجود پلاک و سایر عوامل عفونی
- بدون نظری
کامپوزیت کردن دندان یکی از عواملی است که میتواند در زیبایی انسانها و لبخند آنها تاثیر بسزایی بگذارد، بهتر است بدانید که انتخاب رنگ کامپوزیت دندان از اهمیت بالایی برخوردار است که ما در این مطلب به نحوه انتخاب رنگ بندی کامپوزیت دندان مناسب پرداخته ایم. به طور کلی دندانهای
- بدون نظری
استفاده از ایمپلنت های دندانی برای کسانی که می خواهند زیبایی دندان از دست رفته شان بازگردد بسیار امری مهم و حیاطی به حساب می آید. ایمپلنت ها ابزار های دندان پزشکی هستند که به مانند دندان واقعی عمل کرده و کارایی مشابهی دارند. در بازار ایران ایمپلنت های زیادی
- بدون نظری
تعداد دندان پزشکان
1200 نفر
مشاوره های روزانه
40 مشاوره
ویزیت های آنلاین
۸,۶۲۵ ساعت
اعضاء سایت
7.350 نفر
نظر مشتریان
به طور اتفاقی با این سایت آشنا شدم و از اینکه توانستم دندانپزشک مورد اعتمادم را پیدا کنم، بسیار خوشحال هستم. سایت شما را به همه دوستانم توصیه میکنم.
از اینکه میتوانم به راحتی نظرات سایر بیماران را در مورد هر دندانپزشک بخوانم، بسیار خوشحال هستم. اما کاش امکان ارسال عکس قبل و بعد از درمان نیز وجود داشت تا بتوانیم بهتر نتیجه کار را ارزیابی کنیم.
از زمانی که به این سایت مراجعه کردم، به راحتی توانستم دندانپزشک متخصصی را در نزدیکی محل زندگیام پیدا کنم. تجربه درمان بسیار خوب بود و از نتیجه کار بسیار راضی هستم.
مرجع کامل معرفی و جستوجوی بهترین دندانپزشکان در سراسر کشور
سایت دندانپزشکی مرجعی تخصصی برای معرفی و بررسی دندانپزشکان سراسر ایران است. در این وبسایت میتوانید دندانپزشک مورد نظر خود را بر اساس شهر، تخصص (ارتودنسی، ایمپلنت، زیبایی، کودکان و…) و امتیاز بیماران پیدا کنید. هدف ما این است که انتخاب دندانپزشک برای بیماران ساده، مطمئن و آگاهانه باشد. با چند کلیک میتوانید اطلاعات تماس، آدرس، نمونه کارها و نظرات بیماران واقعی را مشاهده کنید.